STANDARD
결과로 증명하는 스탠다드치과
치과 한 번도 가지 않아 부식된 치아, 임플란트와 틀니의 장점을 모은 임플란트틀니로 해결한 성공 사례
안녕하세요 잠실역치과 스탠다드입니다.
저희 병원은 묵혀두었다가 큰 치료를 받고자 하시는 분이 많이 오십니다.
아무래도 수면치료와 서울대 전문의 원장님들의 협진을 통해서
어렵고 오래 걸리는 치료를
최소 내원 그리고 덜 아프게 진료를 해 드리기 때문인 거 같습니다.
오늘 저희를 찾아주신 환자분은
경기 광주에 거주하고 계시는 50대 후반 환자분이세요.
저희 서울대 보철과 전문의 연제웅 원장님께서
방송에 출연하신 것을 보고
문의를 주셨는데요
처음 전화를 주셨을 때
떨리는 목소리로 전화를 주셨다고 합니다.
치과치료를 많이 해야 하는 상황이고
아프지 않게 정말 가능한지
재차 문의를 주셨다고 합니다.
(아프지 않는지에 대해서 계속 물어보셨다고 하네요 )
이가 성한 곳이 없어요.
남아있는 치아도 없고요.
치료 방법이 어떤 게 있을까요?
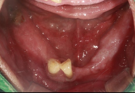
초진사진

촬영:2023년 9월 25일
광주에서 어렵게 발걸음 하신 환자분은
50대 후반의 젊은 나이이시지만
치아만큼은 70대라고 해도 믿어질 정도의
상태로 내원해 주셨습니다.
환자분 인상이 밝은 데에 비해
치아가 군데군데 비어있어
공기가 새기 때문에 발음이 부정확하고
착용하신 마스크 위쪽으로
입 냄새가 강하게 나는 편이었습니다.
그래서 밝은 성격이심에도 불구하고
주변 사람들과 이야기할 때 입을 가리고 말씀하시거나
약간의 거리를 두고 말할 수밖에 없는 게 불편하시다고 말씀하셨습니다.
저희 송파치과에서는 상담할 때 환자분의 현재 치아 상태뿐만 아니라
이로 인해서 어떤 불편감이 있는지 꼼꼼하게 여쭤보는데
이 때문에 상담 시간이 길어지긴 하지만
환자분께 꼭 맞는 치료 결과를 얻기 위해서는 반드시 필요한 과정입니다.
다행히도 여러 치과를 다녀보셔서
본인의 상태를 어느 정도
객관적으로 파악을 하고 계신 분이라
현재 환자분의 상태에 대해서
진단 및 설명을 해드리기에는 수월하였습니다.
진단 및 진료계획

한 번도 치과 방문을 하지 않았고
치아가 자연스레 부러지고 빠졌던 만큼
환자분의 치아 상태는 생각보다 심각했습니다.
살짝만 건드려도
충치로 인해 치아가 삭아 으스러질 것 같이 치아 조각이 떨어져 나오고 (치아우식)
어떤 치아는 흔들림이 매우 심했습니다(치주염)
건강한 치아들과 비교해 보면
잇몸과 잇몸뼈가 단단하게 잡아주는 치아가 하나도 없는 상태입니다.
그리고 어금니가 없다 보니
수직 고경(위턱과 아래턱 사이의 거리)이 완전히 무너진 상태이고
앞니가 너무 흔들거리고 솟아올라와서 걸리지 않게 씹기 위해서
씹는 동작도 비틀어서 하는 상태였습니다.

앞니만 조금 남아있고
어금니가 없음에도 불구하고
틀니조차 사용하지 않으셨던 환자분이라
식사하는데 많이 불편하셨을 것 같네요.
방치했던 시간이 길었던 만큼
흡수된 잇몸뼈의 양이 상당할 것으로 예상되는데
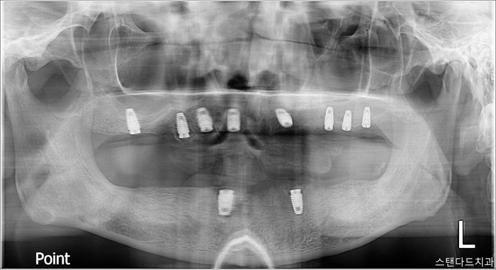
파노라마 사진과 3D 사진으로
정확하게 진단을 했습니다.

촬영:2023년 9월 25일
예상했던 것처럼
뿌리만 남아있는 치아가 많고
부러져있는 치아도 있었지만
아래는 치조골의 양이 충분했지만
상악은 어금니 부위의 치조골이 부족한 상태였습니다.
치아 중에서는 사용할 수 있는 치아가 없어서
전악 발치하는 것으로 최종적으로 진단을 내렸습니다.
환자분은 단순틀니는 원치 않으셨고
위/아래 모두 임플란트 틀니를 원하셨습니다.
위에는 4개 / 아래 2개를 원하셨는데
저희 송파 치과에서는 위에 4개의 경우
오버덴처의 장기 결과가 좋지 않아서 추천드리지 않습니다.
그래서 위의 경우에는 7개의 임플란트를 이용한 전체 임플란트 혹은 풀아치
아래는 2개를 이용한 임플란트 틀니를 이용한 방법으로 계획을 세워드렸습니다.
이렇게 치과를 내원하지않고
방치한 환자분들의 경우에는
진단 및 계획에 있어서 '잇몸뼈'의 유무가 중요한 부분인데
저희 송파 치과에서는 상악의 경우 저희 의료진이
다양한 방법으로 어떻게든 잇몸뼈를 만들어
임플란트를 식립해 드리고 있습니다.
다만, 하악의 경우 하치조 신경관으로 인해
잇몸뼈 이식과 임플란트를 할 수 있는
적정선이 있기 때문에 부작용이 발생하지 않는 선에서
환자분께 적용할 수 있는 치료 계획을 세워
진료해야 하는 상태입니다.
(*환자분마다 턱의 신경관과 구조물의 위치가 다르기 때문에
스탠다드치과에서는 환자 맞춤형 1:1 진료계획을 제공합니다.)
* 진료계획 *
상악 - 임플란트 식립 및 상악동 거상술
하악 - 임플란트 틀니
수술 직 후

촬영:2023년 10월 10일
간단한 스케일링조차도 하기 힘들어하셨고
특히, 치과치료 시 발생하는
소리, 냄새, 촉감, 통증 등
모든 감각적인 부분에 거부반응과 공포감이
유달리 심하셨던 분이라
수면마취 진행 시에도 환자분께서
차분하게 진료를 받을 수 있도록 신경을
많이 써 진료를 봐드렸던 기억이 있습니다.
치과수면마취 = 의식하진정요법
으로 진행하여 발치 후 임플란트 식립까지
약 1시간 정도 소요되었는데
수면마취로 진행하시는 동안에는 한번도 수면에서
깨지 않고 편안한 심박수와 혈압 유지하시면서
저희와 긴 호흡을 잘 맞춰 주셨습니다.
하악은 계획대로 2개를 식립했고
상악은 왼쪽의 뼈가 약해서 추가로 1개 더 식립해 드렸습니다.
물론 비용은 추가되지 않습니다
(수면치료 중 추가로 의료진의 판단으로 필요하다고
생각되는 곳에 추가로 식립하는 부분에 대해서는
따로 비용을 받지 않고 있습니다. 이게
환자와 의사를 위해 이롭다고 판단하기 때문입니다)
국소마취를 완벽하게 하고
임플란트 수술을 진행하기 때문에
실제 환자분께서 느끼는 통증은 없다고 볼 수 있지만
이번 환자분처럼 심리적 부담감과
약간의 구강 속 압박도 느끼고 싶지 않으신 분들은
치과수면마취로 진행하는 것을 권해드립니다.
임플란트 완성(최종보철 체결)

촬영:2024년 3월 25일
총 5개월에 걸친 치료 끝에
상악은 전체임플란트 하악은 임플란트 틀니로
최종 보철 체결해 드렸습니다.
수술 후 임시치아를 바로 올려드릴 수 없는 상태라
임플란트가 잇몸뼈에 유착이 될 동안
임시틀니를 사용하게끔 해드렸습니다.
3개월이 지난 이후에는 임시치아와 임시 임플란트 틀니를 이용해서
식사를 할 수 있게 해드리고 수직 고경을 체크하였습니다.
이때부터 환자분께서는 약간씩 살이 찌는 모습을 보이셨는데
이런 모습이 저희처럼 전체 임플란트를 치료를 많이 해드리는 병원에서는
가장 기분이 좋은 변화입니다.
5개월이 지나, 최종 보철 체결 후
환자분께서 거울 보시고 정말 많이 좋아하셨는데요.
이제는 웃을 때 원래 성격대로 밝고 시원하게 웃을 수 있고
그동안 치아 때문에 남몰래 마음고생도 많이 하시고
매일 식사하면서 맛도 느껴지지 않고
아프고 불편했던 그 시간이 보상받는 기분이라고
말씀해 주셨습니다.
그리고 정기 체크하실 때 다른 친구분도 소개해 주셔서
비슷한 치료를 지금 진행하고 있습니다.
(저희 병원은 이런 식의 소개 환자분이 많이 오십니다)

촬영:2024년 3월 25일

상, 하악 모두 임플란트를 해드렸으면 더 좋았겠지만,
경제적 상황도 치료 계획에 무시 못 할 요소이기 때문에
환자분의 사회적/경제적 상황에 맞는 치료 계획을
세워드리는 것이
의료진의 역할이라고 생각합니다.
임플란트 틀니는
임플란트의 장점으로 틀니의 단점을 보완하여
만들어지기 때문에 일반적인 틀니에 비해서는
관리 및 기능적, 심미적인 측면에서
훨씬 더 안정감 있는 장치입니다.
(최근 일부 치과에서는 임플란트 틀니 혹은 고정성 틀니가
임플란트의 장점과 틀니의 장점을 모두 가져서
전체 임플란트보다 좋다고 홍보를 하는데
이것은 잘못된 정보이니 참고하시길 바랍니다)
저희와 5개월 동안 함께 호흡 맞춰 오시면서
마지막 진료는 수면 없이 진료를 보실 정도로
환자분께서도 치과치료에 대한 거부감을
상당 부분 내려놓으셨는데요.
이런 부분에서 진료의 만족도가 높아지고 소개가 많이지는
비결이 아닐까 싶습니다.
그럼 다음번 정기검진 때
건강해진 모습으로 뵙길 바라겠습니다.
