STANDARD
결과로 증명하는 스탠다드치과
잠실역 임플란트치과 지방에서 내원 당일에 수면으로 임플란트 9개/크라 운 19개를 아프지 않게 수술
안녕하세요 스탠다드입니다.
임플란트 수술을 위해 내원하시는
환자분들 연령대를 본다면
꼭 노년층에 한정되어 있지 않는데요.
자극적인 식습관 그리고 불규칙한 생활습관
잦은 흡연과 음주로 인해 젋은 임플란트 환자도
늘어나는 추세입니다.
오늘 포스팅 환자분은
50대 환자분으로
지방에서 내원하셔서 당일 임플란트 수술을
받으신 환자분 케이스입니다.
소개받고 내원합니다.
치과 안 간지가 오래되었어요.
임플란트 하고 싶은데 하루에 가능한가요?
초진사진

촬영:2023년7월22일
50대 초반의 젊은 환자분으로
이미 결손치가 있으신 상태로 내원해 주셨어요.
원래 치아배열이 좋지는 않았는데
치아가 한두 개 빠지면서
치아가 옆으로 쓰러지면서
더 엉망이 되었다고 하셨습니다.
평소 겁이 많고, 아픈 것을 싫어하는 탓에
충치가 생긴 건 오래전부터 알고 있었지만
치과를 가기까지가 많이 힘드셨다고 해요.
최근에 내원해 주신 계기는
통증 없이 진료가 가능하다고 소개를 받고
용기 내 내원해 주신 것도 있지만
어금니가 많이 빠져서 식사하는데 있어
불편함이 많으셨다고 합니다.
촬영:2023년7월22일
한눈에 보더라도 현재 치아 상태가
좋지 않다는 것이 느껴지실 텐데요.
아래 앞니에는 이미 치석이 두텁게
자리 잡고 있습니다.
충치도 어느정도 진행이 되어보이고요.
말씀하신 대로 어금니가 충치로 인해 부식되어
저절로 빠져버린 상태라 잇몸이
정상적으로 회복이 덜 된 상태로 보입니다.
진료계획
촬영:2023년7월22일
어금니 쪽을 눈여겨보시면
치아가 잇몸에 붙어있는지, 떨어져 나왔는지
구분이 안될 정도로 어금니가 망가져 있는 것이 보이는데요
충치로 인한 염증 때문에
잇몸흡수가 계곡의 형태인 V자로
깊숙하게 패어 있습니다.
다행히 보이는 상태에 비해 남아있는 턱뼈가 좋아
염증을 제거하고 잇몸뼈이식을 추가적으로 해준다면
충분히 회복될 수 있어 보이는 상태입니다.
(연령대가 비교적 젊어서 그런지 잇몸뼈가 단단한 편이세요)
어금니를 제외하고는
남아있는 치아는 최대한 보존할 수 있도록
신경치료와 보철치료를 동시해 진행해
보존할 수 있도록 계획해 드렸습니다.
치과공포증이 심한 분으로
치과에 내원하는 횟수가 많아질수록 환자분의
긴장도가 급격하게 상승하기 때문에
'최소 내원'을 기준으로 잡고 진료 봐드리기로 하였습니다.
1차 수술진행

촬영:2023년7월22일
미리 예약을 하고 내원하셔서
수술시간이 확보된 상태에서 치과수면마취로 진료를 보셨습니다.
치과수면마취는 의식하 진정요법으로
전신마취와는 다르게 안전한 약물인 '미다졸람'을 사용해
가수면 상태를 유지해 환자분들께서 가장 무서워하시는
국소마취도 수면마취 후에 진행합니다.
안전하게 수면마취 후
① 송곳니 및 작은어금니 치경부 레진(보존치료)
② 보존치아 다듬기 및 임시치아 제작
③ 어금니 발치 및 잇몸염증제거
④ 임플란트 식립 및 뼈이식
수면마취 후 할 수 있는 최대한의 진료 ①~④
봐드릴 수 있도록 당일에 최대한 많은 진료를 해드렸습니다.
Q. 당일 수면마취로 많은 진료를 해도 무리가 가지 않나요?
A. 신경치료와 같이 여러 번 진료가 필요한 진료의 경우에는
절차에 맞게끔 나눠 진료를 진행합니다.
하지만 환자분의 컨디션에 무리가 가지 않는 선에서는
최대한 할 수 있는 진료를 한꺼번에 진행해 드리고 있는데
이 부분은 치과 전문의의 임상경험이 충분할 경우에
가능하기 때문에 일반적이지 않는 고난이도 기술력에 해당되는 부분입니다.
저희, 스탠다드치과에는 유독 케이스가
복잡한 환자분들이 많이 내원해주시고 계시기 때문에
문제가 될 수 있는 상황에 대해 대처가 가능하고
첨단화 장비로 꼼꼼하게 확인하며 진행하고 있습니다.
2차 수술 및 치아본뜨기

약 3달 반 뒤
식립한 임플란트는 결과적으로
ISQ 측정 시 60 이상의
안정적인 고정력 수치를 보여주었습니다.
임플란트가 완성되는 동안은
전체적인 치아에 통일감이 있도록 제작할 수 있도록
앞쪽 보철 진료도 임시로 사용하는 임시보철을 붙여드렸습니다.
(최종보철까지 사용할 수 있도록 임시보철을 튼튼하게 만들어 드리고
보철 체결로 여러 번 내원하지 않도록 계획해 드렸습니다.)
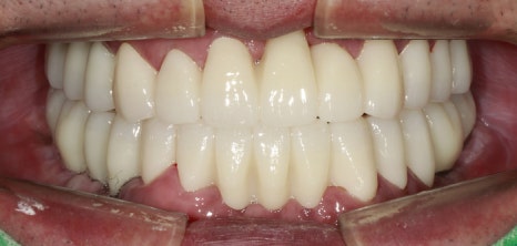
최종보철체결

촬영:2023년11월13일
마지막 보철 체결은 환자분께서 수면마취 없이
진행할 수 있을 것 같아 수면 없이 진행하셨습니다.
진료한 치아는 치아 모양과 배열 그리고 색상도
불규칙해 입 주변이 어두워 보였는데
임플란트와 크라운 보철로 치아 모양이 정돈되니
이제 제 나이보다 훨씬 동안으로 보이세요.
얼굴을 봤을 때, 치아가 주는 인상이
크다는 것을 한 번 더 느끼게 해준 진료 케이스였습니다.

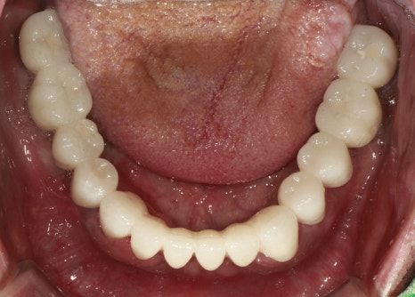
촬영:2023년11월13일

최종보철을 제작할 때,
환자분과 심도 있는 이야기를 하기도 하지만
환자의 생김새, 피부 톤이나 연령대를 고려해
치아 모양과 색상을 추천해 드리는 경우가 있어요.
평균적인 보철의 사용 수명은 약 10년~15년으로
여러 가지를 고려해 이번 환자분은 치아색상을 한 톤 밝게 제작해 드렸는데
이 부분이 환자분과 잘 어울려
진료 전 후 차이가 확연하게 달라진 케이스입니다.
치과공포증으로 오랫동안 치료받지 못하고
치아 때문에 많이 고생하셨을 텐데
치과 수면마취로 5회내원으로 진료가 마무리되어
환자분의 고통을 덜어드린 진료가 된 것 같아
기분이 좋습니다.
저희 스탠다드를 내원해 주시는 분들은
치과공포증으로 어렵게 어렵게 내원하셨지만
환자의 입장에서 진료하는 마음을 알아주시는 덕분인지
진료가 끝나고 마무리쯤에는 항상 웃으면서
가시는 모습을 뵙곤 합니다.
그럼 다음 정기검진 때 더 좋아진 모습으로 뵙겠습니다.
긴 글 읽어주셔서 감사합니다.
기준이 있어야 흔들리지 않습니다.
스탠다드치과
혹시 치과공포증으로 현재 치과치료가 절실하신데
내원에 어려움이 있으시다면 아래 채널로 문의하시면
정성껏 상담 도와드리겠습니다.
