STANDARD
결과로 증명하는 스탠다드치과
치주염으로 치아를 발치하고 뿌리 위로 올라간 잇몸, 흔들리는 치아와 불편한 틀니! 다수의 임플란트로 해결/ 잠실역 임플란트 수면마취치과 스탠다드치과
안녕하세요 잠실역 치과 스탠다드입니다.
가장 천천히 만성적으로
다가오면서 치료시기를 쉽게 놓쳐버리는
치과질병은 어떤 것이 있을까요?
바로 치과 질환은 치주 질환입니다.
치주 질환은 치은염과 치주염으로 구분됩니다.
치주염의 진행은 아래의 순서로 진행됩니다.
1. 치석이나 상처로 인한 가벼운 염증
2. 단순하게 잇몸에 가벼운 불편감이나 입 냄새, 양치할 때 출혈로 시작해서
(여기까지 치은염)
3. 야금야금 치근 쪽으로 치석과 세균이 침투하고 염증 부위가 깊어짐
4. 치조골 흡수되나 겉으로는 큰 변화가 보이지 않음
(이 단계부터 치주염)
5. 치아가 흔들리거나 씹을 때 통증
4번째 단계가 되기 전에 치료가 진행된
치은염은 원래 상태로 회복이 되지만
4단계를 넘어가서 치주염이 되는 순간 회복될 수 없습니다.
치주염의 진단은 정기검진을 통해서 발견할 수 있지만
대부분 더 이상 회복이 되기 힘들 정도로 좋지 않을 때
병원을 내원하시는 경우가 많습니다.
특히, 다수의 치아가 상실되고
치과공포로 인해 오랜 시간 방치한 분들이시라면
치아가 멀쩡히 다 있는 것 같아도
손실된 치아 뿌리 부분에
만성화된 치주염이 흠들림, 골소실등을
빠른 속도로 악화되어 다수의 발치 후 임플란트 / 임플란트틀니 / 틀니로
진행되는 플랜이 많은데, 잠실역 치과에서 오늘 포스팅할 환자분의
케이스도 시작은 가벼운 치은염이었지만 이 만성치주염으로 번져
부분틀니 단계를 거쳐 전악 발치한 케이스입니다.
임플란트 해야 할 것 같아요.
아래 틀니가 자꾸 빠져서 많이 불편해요
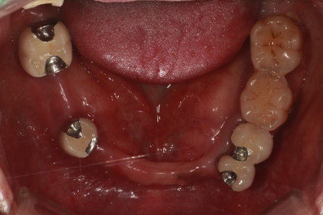
초진사진

촬영:2024년1월9일
왼쪽 위 치아의 흔들림이 몹시 심하고
아래 틀니를 6-7년 전에 진행했는데
불편해서 못쓰겠다고 방송에 나온 저희 구강외과 홍동환 원장님을 보고
신뢰가 생겨 충청북도 괴산에서
저희 잠실역 치과를 찾아와주신 내원하신 환자분입니다.
먼저 환자분의 첫인상만 봤을 때는
윗입술이 치아라인을 가려서인지
크게 문제가 없어 보이는 모습입니다만.....
(저희는 방사선 사진을 먼저 확인하고 들어가기 때문에 문제를 알고 뵙습니다~)
환자분께서 처음 하신 말씀
'전체적으로 치아에 문제가 많아요...
예전에 보철치료를 했는데, 그 이후로 치과가 가기 싫어
안 간 지가 오래되었어요. 특히 아랫니가 없어 틀니를 하는테
틀니는 자주 빠지고 떨어져서 더 이상 안 쓰고 싶어요
요새는 틀니보다 치아 없는 게 편해요'
불편한 점을 차분하게 말씀해 주셨습니다.
부분틀니/틀니 처음에는 잘 맞는 거 같지만
(물론 처음부터 불편해서 못쓰시는 분들도 있습니다)
사용하다 보면 틀니 자체가 문제가 생기거나
치아와 치조골에 문제가 생겨서
밥 먹거나 말할 때 떨어짐을 경험하시는 분들은
이상하리만큼 잘 떨어지고 탈락되어 불편함을 많이 호소하세요.
이번 환자분은 후자의 케이스로 볼 수 있겠습니다.
이 환자분의 케이스처럼 하악의 경우 부분 틀니의 경우에는
전체 틀니보다는 쓸만하지만 남아 있는 치아의 관리가 굉장히 중요합니다.

촬영:2024년1월9일
기존 틀니는 이제 아예 들어가지도 않는다며
어디 있는지도 모른다고 하셨습니다.
처음 보철하셨을 때, 치아 모양이 예뻐서
만족스러우셨을 것 같은데
보철 후 구강관리 및 사후관리가 많이 안되어진
모습으로 보입니다.
입안 상태를 보면
상악의 보철 위쪽으로 치조골이 녹아서 치아뿌리가 드러나있고
드러난 치아뿌리로는 치석과 염증이 뒤엉켜
수직적 잇몸흡수가 깊게 일어난 것을 확인할 수 있습니다.

방사선 사진으로 확인해 본 결과
예상했던 대로 상악 치아 전체적으로 치주염으로 인한 치조골 소실이 심하고
하악의 경우 다수의 치아의 상실과 우식 그리고 염증 소견이 보이는
심각한 치주염 상태입니다.
남아있는 모든 치아들이 잇몸에 매달려있는 상태(Floating tooth, 부유치)로
흔들리고 빠지기 직전이었습니다.
말씀하실 때도 불편한 기색이 느껴졌는데
아무래도 통증도 꾸준하게 느끼셨을 것 같습니다.
정리하면 환자분의 치아는 존재할 뿐 기능하지는 못하는 상황이었습니다.

꼼꼼하게 진단한 결과 최대한 치아를 살려보려고 했지만
환자분의 치료의 기준은 "더 이상 신경 쓰지 않아도 되는 치아!"였습니다.
조금이라도 추후 문제가 될 치아는
남기고 싶지 않다는 의지가 강하셔서
장기간의 상담 끝에 모든 치아발치 후 전체임플란트로
최종 계획을 결정하였습니다.
환자분께서 치과공포증 있어
치과수면마취로 진행하기에 최대한 한 번에
임플란트를 식립하려고 해드리고자 했습니다
하악의 경우에는 치조골 이식과 함께 임플란트 10개 식립
(처음 계획은 8개였고 2개는
당일 임시치아를 끼우는 원데이 임플란트를 위해서
비용 없이 추가 식립하였습니다)
상악의 경우 잇몸뼈가 장기간의 만성 치주염으로 인해 다량 소실되어
1차로 잇몸뼈 이식으로 기존 뼈를 보강하고
단단하게 잇몸뼈를 재건(이식이 아닌 재건에 가까운 작업이었습니다) 한 뒤
임플란트를 식립하는 방향으로 계획하였습니다.
바로 임플란트를 모두 식립할 수는 없었습니다만
틀니 사용이 불편할 것으로
판단되어 최대한 빠른 시간에
임시치아를 통해
식사를 해드릴 수 있도록 하기 위해
심을 수 있는 공간에 6개 이상의
임플란트(최소 4개 이상)을 심어
3개월 후에는 아래와 함께
임시치아를 넣어 드릴 수 있게 진행하였습니다.
1차 수술 진행

촬영:2024년1월23일
치과 공포증과 통증을 줄여드리기 위해 치과수면마취로 진행했고
발치→뼈이식+상악동거상술→
임플란트(16개)식립→임시치아 까지
당일 진행되었으며 수술은 약 3시간 소요되었습니다.
상악의 경우에는 임시전체틀니를 해드렸고
하악에 임시치아를 일부분만 올려드렸는데
자연치아(염증많은)치아가 있던 부분에는
염증을 제거하고 잇몸뼈를 이식하는 과정에서
잇몸뼈가 단단하지 않아
비교적 단단한 자리 그리고 임플란트 고정력이
나오는 부분을 선택해 임시치아를 부착해서
치아를 모두 채운 상태로 집에 갈 수 있게 해드렸습니다.
(저희 잠실역 치과는 지방이나 해외에서 오시는 환자분들이 많아서
저희와 환자분 모두 고생이지만
시간이 좀 걸리더라도 당일에 치아를 끼워서 보내리는 경우가 있습니다. )
※환자분께서 잠시 사용하는 틀니 사용도
극도로 거부하셔서 최대한 임시치아를 해드리고 싶었으나
간혹 임시치아를 해드렸을 때
너무 편해서 너무 식사를 잘하시거나 사용을 잘하셔서
임플란트가 망가져 내원하는 경우가 있어
선택적으로 하악만 진행해 드렸고
상악은 잇몸뼈 이식량이 많아
임시틀니로 제작해 드렸습니다.
2차 임플란트 수술

촬영:2024년8월27일
처음 수술 후 8개월이 지났습니다.
원래는 3-4개월이면 2차 수술을 진행하지만
(사진상오른쪽) 기존에 있었던 자연치아인 끝 어금니
두 개가 뿌리 안쪽으로 염증이 깊다 보니
그만큼의 골소실도 많고 상악동 바닥을 염증이 뚫어서
바로 뼈이식을 하지 못하고 염증 치료를 먼저 진행하고
상악동거상술로 잇몸뼈를 채웠는데
원래도 단단하지 못한 상악인지라
최대한 시간을 갖고 고정력이 나올 수 있을 때까지 기다려서
8개월의 충분한 시간을 기다린 후
임플란트를 식립하였습니다.
처음 수술했던 임플란트를 마무리하면서
환자분의 치과공포증을 극복해 드리기 위해서
수술과 함께 보철과정도
수면마취를 이용해서 진행하였습니다.
그리고 올 때마다 진료에 대해서 술전/술후에
환자분이 지겨울 만큼 치료 과정에 대해서 설명을 들으시면서
여러 번 내원했던 횟수만큼
환자분의 치과공포도는 현저하게 줄어
마지막 임플란트를 식립할 때는 수면마취 없이
국소마취만으로도 임플란트 수술을 무리 없이 진행했습니다.
그만큼 태크니컬한 수술뿐만 잘하는 것이 아닌
환자의 마음을 치유하는
심리적으로 편안한 치과는 바로 잠실스탠다드치과입니다.:)
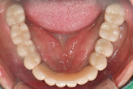
최종보철체결 / 마무리

촬영:2024년12월17일
최종보철 마무리되었습니다.
1년간의 긴 여정이었습니다.
기간적으로는 1년이라는 시간에 걸쳐 마무리가 되었지만
사실상 가장 끝 어금니 임플란트만
7개월 차에 진행되어
대다수의 보철인 전체 임플란트는
6개월 만에 마무리가 됐다고 봐도 무방합니다.
비어있는 아랫니를 보이지 않도록
편하게 대화나 웃지 못하셨는데
이제는 아랫니가 보이도록 시원하게 웃으세요.

최종보철은 12월에 마무리되었지만(상악 2개 포함)
6개월 차부터 상악 2개를 제외한
나머지 임플란트는 최종보철로 지내오신지라
환자분께 그동안 사용하셨던 임플란트 사용기를
들을 수 있었는데 가장 마음에 들었던 부분은
'단단해서 음식을 마음껏 먹을 수 있다'
이점이 틀니를 사용했을 때와는
가장 큰 차이점이라고 말씀해 주셨습니다.
아무래도 잇몸에서 지지를 얻는 틀니와는 다르게
치조골에서 지지를 얻어 자연치아의 80% 역할을 수행하는
임플란트와는 견고함과 단단함이 다르기 때문에
그동안 드시지 못했던 단단한 음식 그리고 질긴 음식을
마음껏 식사가 가능하셨을 거예요.
그리고 '치아가 예뻐서 거울 보는 것이 두렵지 않다'
이전에는 잇몸 뿌리라인으로 생긴
염증으로 인해 냄새도 많이 나고 누가 볼까 걱정되었다면
지금은 고르고 예쁜 보철로
사람들 만날 때도 자신감이 생기고 거울 볼 때도
치아 때문에 생기는 근심이 사라졌다고 하세요.
1년이란 기간 동안 뵈어오면서
환자분께서 점차 밝아지는 모습을 보며
뿌듯했던 진료 케이스였는데, 이제는 스탠다드와 정기적 검진을 통해
지금 이 컨디션 오랫동안 유지하시길 바라겠습니다.
그럼 다음 포스팅으로 뵙겠습니다.
